Erişilebilirlik

Dr. Ateş: “Kalp Sağlığı İçin Kalsiyum Skorlaması Şart”


Dr. Ateş: “Kalp Sağlığı İçin Kalsiyum Skorlaması Şart”
Dr. Ateş: “Kalp Sağlığı İçin Kalsiyum Skorlaması Şart”

Anadolu Sağlık Merkezi Kalp ve Damar Hastalıkları Uzmanı Doktor Gürsel Ateş'e göre, özellikle 40'lı yaşlarda kalp kontrolları önemli

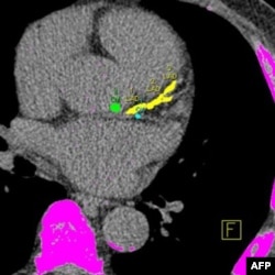
Türkiye ve ABD dahil tüm dünyada ölüm nedenlerinin başında gelen kalp ve damar hastalıkları geliyor. Bu hastalıkların önceden fark edilmesini sağlayacak testler hayat kurtarıyor. Kalp krizi riskini öğrenmenin en kolay yolu uzmanlara göre “kalsiyum skorlaması”. Modern cihazlarla, ilaçsız ve çok kısa sürede yapılabilen kalsiyum skorlaması, dört yıl içinde kalp krizi geçirme riskinin derecesini ortaya çıkarıyor.

Anadolu Sağlık Merkezi Kardiyoloji Uzmanı Doktor Gürsel Ateş, herhangi bir şikayet olmasa da, ailesinde kalp hastalıkları görülen ve 40’lı yaşlarda olan herkesin kalsiyum skorlaması yaptırması gerektiğini söylüyor. Kalp uzmanı Dr. Gürsel Ateş, Amerika’nın Sesi’nden Hülya Polat’ın sorularını yanıtladı.

Doktor Gürsel Ateş'le söyleşiyi dinlemek için:

Kalp krizi riskini öğrenmenin en kolay yolu kalsiyum skorlaması

Dr. Ateş: “Kalp Sağlığı İçin Kalsiyum Skorlaması Şart”
Dr. Ateş: “Kalp Sağlığı İçin Kalsiyum Skorlaması Şart”


Modern cihazlarla, ilaçsız ve derin bir nefes alma süresinde yapılabilen kalsiyum skorlaması, kalp damarlarındaki kireçlenme miktarını ve buna bağlı olan koroner arter hastalığı riskini ortaya çıkarıyor. Kalsiyum skorlaması sonuçları, kişinin gelecek yıllarına ilişkin bilgi veriyor.

Kalp krizi riskinin önceden belirlenebilmesini sağlayan yöntemler arasında ilk akla gelen anjiyo. Kardiyoloji Uzmanı Dr. Gürsel Ateş, anjiyo ile kalsiyum skorlamasının birbirinden farklı iki yöntem olduğunu vurguluyor.

Doktor Ateş bunu şöyle açıklıyor: “Anjiyoda kişinin varolan şartları belirlenip, tedaviye gereksinim duyup duymadığına karar veriliyor. Kalsiyum skorlamasında ise kişinin damarındaki gelişmeleri görmek amaçlanıyor. Böylece, ilerleyen yıllarda kalp krizi geçirme riskinin daha iyi belirlenmesi sağlanıyor.”

40'lı yaşlara dikkat!

Dr. Ateş: “Kalp Sağlığı İçin Kalsiyum Skorlaması Şart”
Dr. Ateş: “Kalp Sağlığı İçin Kalsiyum Skorlaması Şart”


Belirgin bir şikayeti olmasa da ailesinde kalp hastalıkları görülüyorsa kişinin mutlaka kalsiyum skorlaması yaptırması öneriliyor. Kalp ve damar hasatalıkları uzmanı doktor Gürsel Ateş, “Koroner arter hastalıkları, 40’lı yaşlardan itibaren giderek artan bir seyir izliyor. Aile öyküsü olan kişilerde, genç yaşlarda da kalp krizi riski olasılığı var. Araştırmalar, damarlarında kalsiyum birikmesine rastlanmayan kişilerin dört yıl boyunca kalp krizi geçirme riskinin çok düşük olduğunu gösteriyor” diyor.

Kalsiyum skorlamasında istenen, sonucun sıfır olması. Sonuç sıfır değilse, damardaki kalsiyum birikiminin miktarına göre kişide düşük, orta ya da yüksek derecede kalp damar hastalığı riski olduğu düşünülüyor ve çıkan sonuca göre ilaçla tedaviye başlanıyor. Ciddi bir damar tıkanıklığı olduğu belirlenenlereyse koroner anjiyografi uygulanıyor.

Kalsiyum skorlamasında radyasyon riski az

Dr. Ateş: “Kalp Sağlığı İçin Kalsiyum Skorlaması Şart”
Dr. Ateş: “Kalp Sağlığı İçin Kalsiyum Skorlaması Şart”


Hastaya ağızdan veya damardan hiçbir ilaç verilmeden, bilgisayarlı tomografiyle sadece bir tutumluk nefes süresinde yapılan kalsiyum skorlaması, uzmanlara göre en önemli tarama testlerinden biri. Modern cihazlarla yapılan ölçümle daha az radyasyon alınıyor.

Kalp-damar hastalıkları açısından riskli gruplar


• Sigara kullananlar
• Trigliserid ve HDL düzeyi yüksek kişiler
• Diyabet ve hipertansiyon hastaları
• Kilo fazlası olanlar
• Metabolik hastalıkları bulunanlar
• Bel çevresi erkeklerde 102, kadınlarda ise 96 santimetreyi geçenler

Anadolu Sağlık Merkezi Hakkında Bilgi

Anadolu Sağlık Merkezi, modern tıbbın gereklerini yeni ve kapsamlı bir sağlık anlayışıyla hastalarına aktarıyor. İstanbul'daki Anadolu Sağlık Merkezi, Washington yakınlarındaki Johns Hopkins Medicine ile eğitim ve kalitenin geliştirilmesi amacıyla stratejik ortaklık yapıyor. Anadolu Sağlık Merkezi, Onkolojik Bilimler, Kalp Sağlığı, Kadın Sağlığı ve IVF, Nörolojik Bilimler, Cerrahi Bilimler, Dahili Bilimler ve Tanı ve Görüntüleme olmak üzere tüm branşlarda sunduğu hizmetlerde hasta odaklı yaklaşımla hareket ediyor. Hizmetlerinde hasta hakları ve hasta güvenliğini temel önceliği olarak belirleyen Anadolu Sağlık Merkezi Hastanesi, kaliteli sağlık hizmeti ile dünyanın farklı bölgelerinden gelen hastalara tedavi olanağı sunuyor.

Johns Hopkins Medicine Hakkında Bilgi

Johns Hopkins Medicine, Johns Hopkins Üniversitesi Tıp Fakültesi hekimlerini ve bilim adamlarını, Johns Hopkins Sağlık Sisteminin organizasyonları, sağlık profesyonelleri ve tesisleri ile birleştiriyor. Johns Hopkins Medicine’ın misyonu, tıbbi eğitim, araştırma ve klinik bakım standartlarını mükemmelleştirerek toplumun ve dünyanın sağlığını daha iyi bir seviyeye çıkarmak.Johns Hopkins Medicine, Johns Hopkins Hastanesi'nin 1889’da açılışından bu yana, sağlığı korumak için hekimlerin ve tıbbi bilim adamlarının biyomedikal araştırmalar ve tıbbi bilgilerin uygulanması konularındaki eğitimlerinde uluslararası liderlik sağlıyor.

XS
SM
MD
LG